
A pleural effusion—excess fluid around the lungs—can cause uncomfortable symptoms like shortness of breath. Our pulmonary specialists at Premier Lung & Sleep Institute are experts in diagnosing and treating pleural effusions with precision and a focus on patient comfort. We offer advanced procedures to drain the fluid and address the underlying cause.
Request an AppointmentWhat is a Pleural Effusion?
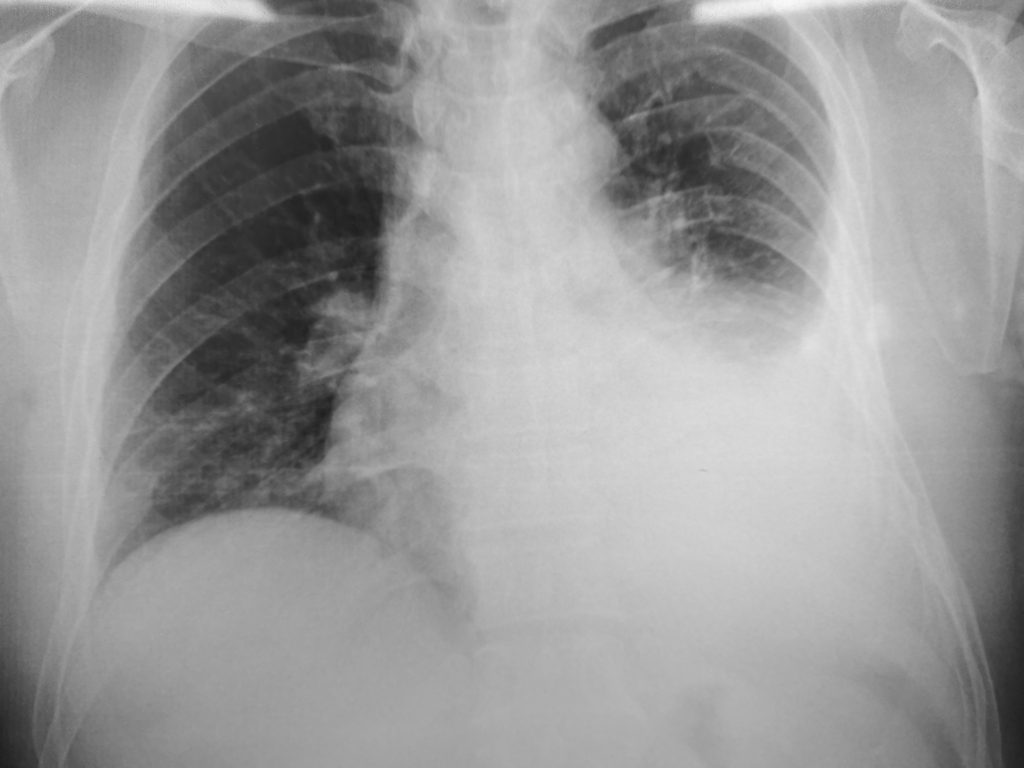
A pleural effusion is a buildup of extra fluid in the space between the lungs and the chest wall, known as the pleural space. This fluid can compress the lung, leading to symptoms such as shortness of breath, chest discomfort, and/or a cough. It’s a symptom of an underlying condition, not a disease itself.
Common Causes
A pleural effusion can be caused by a wide range of medical conditions, including:
- Heart failure
- Pneumonia or other infections
- Cancer (malignant effusion)
- Blood clots in the lung (pulmonary embolism)
- Liver or kidney disease
How We Diagnose & Treat It
Our approach is designed to accurately identify the cause of the effusion and provide effective relief.
- Imaging: We use imaging tests like a chest X-ray, ultrasound, or CT scan to locate the fluid and assess its volume.
- Thoracentesis: This is a procedure to drain the fluid from the chest. We use ultrasound guidance to ensure the procedure is as safe and comfortable as possible.
- Fluid testing: We send the drained fluid to a lab for analysis. Testing can help us pinpoint the underlying cause, whether it’s an infection, heart failure, or cancer.
- Treat the underlying cause: The most important step is to treat the root of the problem.
- Management of recurrent effusions: For recurrent effusions, particularly those caused by cancer, we offer solutions like an indwelling pleural catheter (a small, permanent tube for at-home drainage) or pleurodesis (a procedure to prevent fluid from building up again).
Our Procedures & Services
- Ultrasound-guided thoracentesis: We perform this procedure in a safe and controlled environment for diagnosis and symptom relief.
- Ongoing management: We provide long-term care for patients with chronic or recurrent pleural effusions.
- Bronchoscopy: If we suspect an airway-related cause, a bronchoscopy may be recommended for further evaluation.